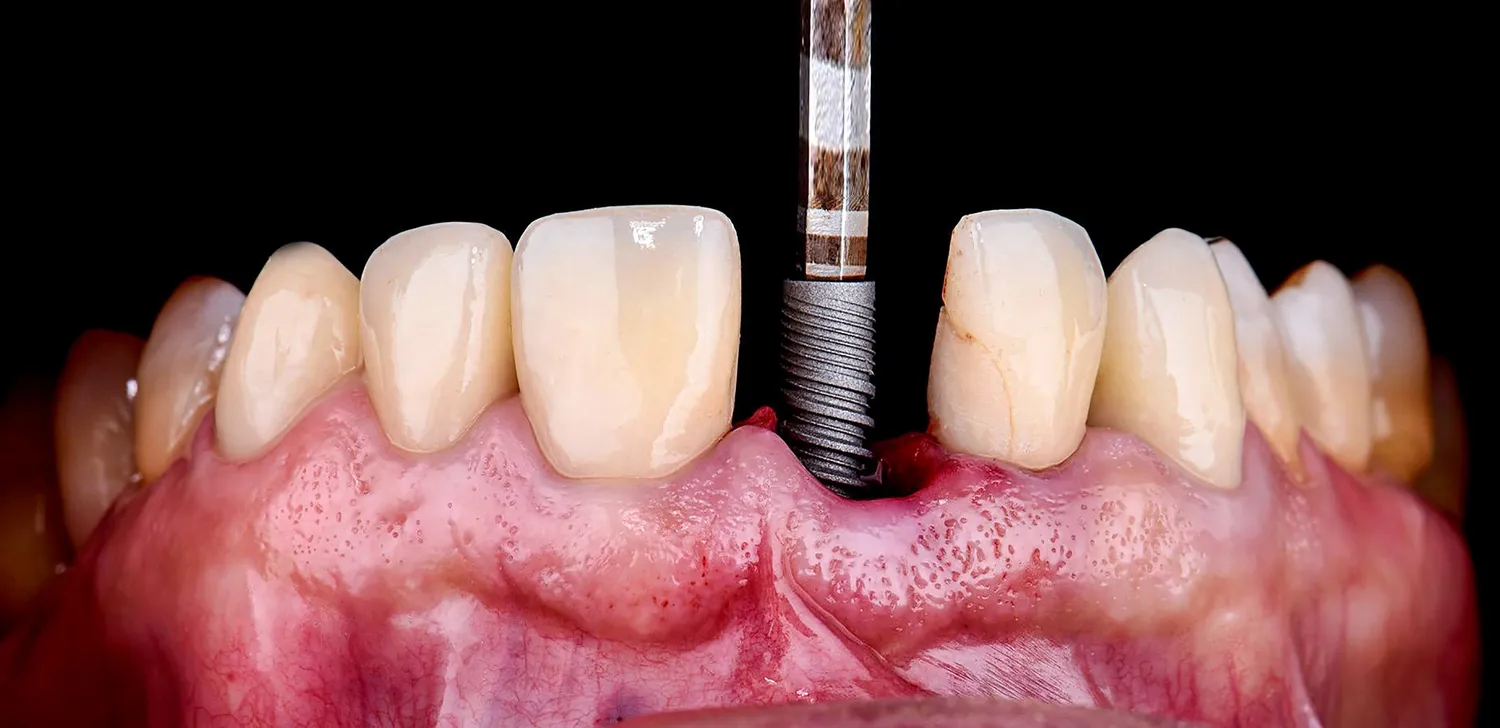
Implanty zębowe to nowoczesne rozwiązanie stomatologiczne, które ma na celu zastąpienie brakujących zębów. W ich skład wchodzi tytanowy słup, który jest wszczepiany w kość szczęki, a następnie pokrywany koroną protetyczną. Proces wszczepienia implantu rozpoczyna się od dokładnej analizy stanu uzębienia pacjenta oraz wykonania zdjęć rentgenowskich, które pozwalają ocenić gęstość kości. Po zakwalifikowaniu pacjenta do zabiegu, lekarz przeprowadza operację, która zazwyczaj odbywa się w znieczuleniu miejscowym. Implanty zębowe działają na zasadzie integracji z kością, co oznacza, że w ciągu kilku miesięcy po wszczepieniu implant staje się stabilną częścią szczęki. Dzięki temu pacjent może cieszyć się pełnym komfortem podczas jedzenia oraz mówienia. Warto zaznaczyć, że implanty są trwałym rozwiązaniem, które przy odpowiedniej higienie mogą służyć przez wiele lat.
Jakie są zalety i wady implantów zębowych?
Decydując się na implanty zębowe, warto rozważyć zarówno ich zalety, jak i potencjalne wady. Do najważniejszych korzyści należy przede wszystkim ich trwałość oraz naturalny wygląd. Implanty są projektowane tak, aby jak najlepiej imitować naturalne zęby, co sprawia, że pacjenci czują się pewniej i bardziej komfortowo. Dodatkowo, wszczepienie implantu zapobiega utracie kości szczęki, co często występuje w przypadku brakujących zębów. Kolejną zaletą jest łatwość w utrzymaniu higieny jamy ustnej – implanty nie wymagają specjalnych środków czyszczących ani dodatkowych zabiegów pielęgnacyjnych. Jednakże istnieją również pewne wady związane z tym rozwiązaniem. Przede wszystkim koszt implantów może być znaczny i nie zawsze jest pokrywany przez ubezpieczenie zdrowotne. Ponadto zabieg wszczepienia implantu wiąże się z ryzykiem powikłań, takich jak infekcje czy problemy z gojeniem się tkanek. Należy także pamiętać o konieczności posiadania odpowiedniej ilości kości do przeprowadzenia zabiegu – w przypadku jej niedoboru może być konieczne wykonanie dodatkowych procedur chirurgicznych.
Jak wygląda proces zakupu i wszczepienia implantów zębowych?

Proces zakupu i wszczepienia implantów zębowych składa się z kilku kluczowych etapów, które są niezbędne do zapewnienia sukcesu całej procedury. Pierwszym krokiem jest konsultacja ze stomatologiem lub chirurgiem stomatologicznym, który oceni stan uzębienia oraz ogólną kondycję zdrowotną pacjenta. Na tym etapie lekarz może zalecić wykonanie zdjęć rentgenowskich lub tomografii komputerowej, aby dokładnie zobaczyć strukturę kości szczęki. Po pozytywnej ocenie następuje etap planowania leczenia – lekarz przygotowuje indywidualny plan działania oraz informuje pacjenta o kosztach związanych z zabiegiem. Gdy wszystkie formalności zostaną załatwione, można przystąpić do właściwego zabiegu wszczepienia implantu. Po jego zakończeniu następuje okres gojenia trwający od kilku tygodni do kilku miesięcy, podczas którego implant integruje się z kością. Po zakończeniu tego etapu można przystąpić do wykonania korony protetycznej, która zostanie umieszczona na implancie.
Czy każdy może zdecydować się na implanty zębowe?
Decyzja o wszczepieniu implantów zębowych nie jest dla każdego i wymaga starannego rozważenia wielu czynników zdrowotnych oraz osobistych preferencji pacjenta. Istnieją pewne wskazania oraz przeciwwskazania do przeprowadzenia tego typu zabiegu. Osoby cierpiące na schorzenia takie jak cukrzyca czy choroby serca mogą wymagać dodatkowych badań oraz konsultacji ze specjalistami przed podjęciem decyzji o wszczepieniu implantu. Również palenie tytoniu może negatywnie wpływać na proces gojenia oraz integracji implantu z kością, dlatego lekarze często zalecają ograniczenie lub zaprzestanie palenia przed oraz po zabiegu. Ważnym czynnikiem jest także stan kości szczęki – jeśli jej gęstość jest niewystarczająca, może być konieczne przeprowadzenie dodatkowych procedur chirurgicznych takich jak przeszczepy kostne. Warto również pamiętać o odpowiedzialności za higienę jamy ustnej po wszczepieniu implantu – regularne wizyty kontrolne u stomatologa oraz dbałość o codzienną pielęgnację są kluczowe dla długotrwałego sukcesu leczenia.
Jakie są koszty związane z implantami zębowymi?
Koszty związane z implantami zębowymi mogą się znacznie różnić w zależności od wielu czynników, takich jak lokalizacja gabinetu stomatologicznego, doświadczenie lekarza, a także rodzaj zastosowanych materiałów. W Polsce ceny jednego implantu mogą wynosić od kilku do kilkunastu tysięcy złotych, co często obejmuje zarówno sam implant, jak i koronę protetyczną. Dodatkowe koszty mogą wynikać z konieczności przeprowadzenia badań diagnostycznych, takich jak tomografia komputerowa czy zdjęcia rentgenowskie, które są niezbędne do oceny stanu kości. W przypadku pacjentów z niedoborem kości może być konieczne wykonanie zabiegów augmentacyjnych, co również podnosi całkowity koszt leczenia. Warto również zwrócić uwagę na to, że niektóre kliniki oferują różne formy finansowania lub ratalne płatności, co może ułatwić pokrycie wydatków związanych z leczeniem. Należy jednak pamiętać, że najtańsza oferta nie zawsze oznacza najlepszą jakość usług. Dlatego warto dokładnie zbadać rynek oraz porównać oferty różnych gabinetów, a także zapoznać się z opiniami innych pacjentów.
Jak dbać o implanty zębowe po ich wszczepieniu?
Odpowiednia pielęgnacja implantów zębowych jest kluczowa dla ich długowieczności oraz zdrowia jamy ustnej. Po wszczepieniu implantu pacjent powinien przestrzegać zaleceń lekarza dotyczących higieny oraz stylu życia. Codzienna pielęgnacja powinna obejmować szczotkowanie zębów co najmniej dwa razy dziennie oraz używanie nici dentystycznej lub irygatora do oczyszczania przestrzeni międzyzębowych. Ważne jest również regularne stosowanie płynów do płukania jamy ustnej, które pomagają w eliminacji bakterii oraz zapobiegają stanom zapalnym. Pacjenci powinni unikać twardych pokarmów oraz nadmiernego obciążania implantu w pierwszych tygodniach po zabiegu, aby dać czas na prawidłowe gojenie się tkanek. Regularne wizyty kontrolne u stomatologa są niezbędne do monitorowania stanu implantu oraz otaczających go tkanek. Lekarz może zalecić dodatkowe zabiegi czyszczące lub profilaktyczne w zależności od indywidualnych potrzeb pacjenta. Warto również pamiętać o zdrowym stylu życia – unikanie palenia tytoniu oraz dbanie o odpowiednią dietę wpływają pozytywnie na proces gojenia oraz ogólny stan zdrowia jamy ustnej.
Jakie są alternatywy dla implantów zębowych?
Alternatywy dla implantów zębowych obejmują różne metody odbudowy uzębienia, które mogą być stosowane w zależności od indywidualnych potrzeb pacjenta oraz jego stanu zdrowia. Jednym z najpopularniejszych rozwiązań są mosty protetyczne, które polegają na osadzeniu sztucznych zębów na naturalnych filarach – zazwyczaj są to sąsiednie zęby. Mosty mają swoje zalety, takie jak niższy koszt w porównaniu do implantów oraz krótszy czas realizacji leczenia. Jednakże wymagają one szlifowania zdrowych zębów filarowych, co może być ich wadą. Inną alternatywą są protezy ruchome, które można łatwo zdjąć i założyć. Protezy są tańszym rozwiązaniem, ale mogą być mniej komfortowe i stabilne niż implanty czy mosty protetyczne. Warto również rozważyć nowoczesne rozwiązania takie jak protezy na implantach, które łączą zalety obu metod – zapewniają większą stabilność niż tradycyjne protezy ruchome przy mniejszym obciążeniu zdrowych zębów.
Jakie są najnowsze osiągnięcia w dziedzinie implantologii?
Implantologia to dziedzina medycyny stomatologicznej, która dynamicznie się rozwija i wprowadza coraz to nowsze technologie oraz materiały mające na celu poprawę skuteczności leczenia oraz komfortu pacjentów. Jednym z najnowszych osiągnięć jest zastosowanie cyfrowego planowania zabiegów chirurgicznych przy użyciu technologii CAD/CAM oraz skanowania 3D. Dzięki tym innowacjom lekarze mogą precyzyjniej zaplanować proces wszczepienia implantu oraz dostosować go do indywidualnej anatomii pacjenta. Kolejnym interesującym kierunkiem jest rozwój materiałów bioaktywnych, które wspomagają proces integracji implantu z kością i przyspieszają gojenie tkanek. Zastosowanie nanotechnologii pozwala na tworzenie powierzchni implantów o zwiększonej biozgodności, co przekłada się na lepsze wyniki leczenia. Również techniki regeneracyjne takie jak przeszczepy kostne czy wykorzystanie komórek macierzystych stają się coraz bardziej popularne i efektywne w przypadku pacjentów z niedoborem kości.
Czy istnieją ograniczenia wiekowe dotyczące wszczepiania implantów?
Ograniczenia wiekowe dotyczące wszczepiania implantów zębowych są kwestią istotną zarówno dla pacjentów młodszych, jak i starszych. W przypadku osób młodych kluczowym czynnikiem jest zakończenie wzrostu kości szczęki, co zazwyczaj ma miejsce około 18-20 roku życia. Wszczepienie implantu przed tym wiekiem może prowadzić do problemów związanych z dalszym wzrostem kości i przemieszczeniem implantu. Dlatego lekarze często zalecają poczekać do pełnoletności przed podjęciem decyzji o wszczepieniu implantu u młodszych pacjentów. Z kolei u osób starszych nie ma formalnych ograniczeń wiekowych dotyczących wszczepiania implantów; jednakże ważne jest uwzględnienie ogólnego stanu zdrowia pacjenta oraz obecności ewentualnych schorzeń przewlekłych, które mogą wpłynąć na proces gojenia lub integracji implantu z kością.
Jak wybrać odpowiedniego specjalistę do wszczepienia implantów?
Wybór odpowiedniego specjalisty do wszczepienia implantów jest kluczowy dla sukcesu całego procesu leczenia oraz satysfakcji pacjenta. Przede wszystkim warto zwrócić uwagę na doświadczenie lekarza – im więcej zabiegów przeprowadził on w swojej praktyce, tym większe prawdopodobieństwo uzyskania pozytywnych rezultatów. Dobrym pomysłem jest również sprawdzenie kwalifikacji specjalisty – certyfikaty ukończenia szkoleń w zakresie implantologii mogą świadczyć o jego umiejętnościach i wiedzy w tej dziedzinie. Kolejnym istotnym aspektem jest opinia innych pacjentów – warto poszukać recenzji w internecie lub zapytać znajomych o rekomendacje dotyczące konkretnego stomatologa czy kliniki stomatologicznej. Dobrze jest również odbyć konsultację przed zabiegiem – podczas wizyty można ocenić podejście lekarza do pacjenta oraz jego sposób komunikacji i wyjaśniania procedur medycznych.





