Implanty stomatologiczne w Szczecinie cieszą się rosnącą popularnością, a ich zalety przyciągają coraz więcej pacjentów. Przede wszystkim, implanty oferują trwałe i stabilne rozwiązanie dla osób z brakującymi zębami. W przeciwieństwie do tradycyjnych protez, które mogą być niewygodne i wymagać częstej wymiany, implanty są osadzone w kości szczęki, co sprawia, że wyglądają i funkcjonują jak naturalne zęby. Dodatkowo, ich obecność pomaga w zachowaniu struktury kości, co jest kluczowe dla zdrowia jamy ustnej. Dzięki temu pacjenci mogą cieszyć się lepszym komfortem podczas jedzenia oraz mówienia. Kolejną zaletą jest łatwość w utrzymaniu higieny. Implanty można czyścić tak samo jak naturalne zęby, co ułatwia codzienną pielęgnację.
Jak przebiega proces zakupu implantów stomatologicznych w Szczecinie
Proces zakupu implantów stomatologicznych w Szczecinie zaczyna się od wizyty u stomatologa, który przeprowadza szczegółową ocenę stanu zdrowia jamy ustnej pacjenta. Lekarz wykonuje zdjęcia rentgenowskie oraz ocenia strukturę kości, aby ustalić, czy pacjent kwalifikuje się do zabiegu. Po dokładnej diagnozie lekarz przedstawia plan leczenia oraz koszty związane z wszczepieniem implantu. Warto zaznaczyć, że ceny mogą się różnić w zależności od wybranej kliniki oraz użytych materiałów. Po zaakceptowaniu planu leczenia następuje etap przygotowania do zabiegu, który może obejmować dodatkowe procedury takie jak ekstrakcja zębów czy regeneracja kości. Sam zabieg wszczepienia implantu odbywa się w znieczuleniu miejscowym i trwa zazwyczaj kilka godzin. Po jego zakończeniu pacjent otrzymuje szczegółowe instrukcje dotyczące pielęgnacji oraz ewentualnych ograniczeń w diecie przez pierwsze dni po zabiegu.
Jakie są najczęstsze pytania dotyczące implantów stomatologicznych w Szczecinie

Wielu pacjentów ma wiele pytań dotyczących implantów stomatologicznych w Szczecinie przed podjęciem decyzji o ich wszczepieniu. Jednym z najczęściej zadawanych pytań jest to, jak długo trwa proces gojenia po zabiegu. Zazwyczaj pełne zagojenie implantu zajmuje od kilku tygodni do kilku miesięcy, w zależności od indywidualnych predyspozycji pacjenta oraz jakości kości szczęki. Innym istotnym pytaniem jest to, czy wszczepienie implantu boli. Dzięki nowoczesnym technikom znieczulenia większość pacjentów nie odczuwa bólu podczas zabiegu ani bezpośrednio po nim. Kolejnym zagadnieniem jest trwałość implantów; przy odpowiedniej pielęgnacji mogą one służyć przez wiele lat, a nawet całe życie. Pacjenci często zastanawiają się także nad kosztami związanymi z zabiegiem oraz możliwościami finansowania lub ratalnego zakupu usług stomatologicznych.
Jakie są opinie pacjentów o implantach stomatologicznych w Szczecinie
Opinie pacjentów na temat implantów stomatologicznych w Szczecinie są zazwyczaj bardzo pozytywne i pełne entuzjazmu. Osoby, które zdecydowały się na ten krok często podkreślają znaczną poprawę jakości życia po wszczepieniu implantów. Pacjenci chwalą sobie przede wszystkim komfort noszenia implantu oraz naturalny wygląd uzębienia, który pozwala im na swobodne uśmiechanie się i jedzenie bez obaw o estetykę czy funkcjonalność zębów. Wiele osób zauważa również poprawę samopoczucia psychicznego związane z odzyskaniem pewności siebie po utracie zębów. Opinie te często zawierają również informacje o profesjonalizmie lekarzy oraz wysokim standardzie obsługi w klinikach stomatologicznych w Szczecinie. Pacjenci zwracają uwagę na indywidualne podejście lekarzy do ich potrzeb oraz szczegółowe wyjaśnienie całego procesu leczenia.
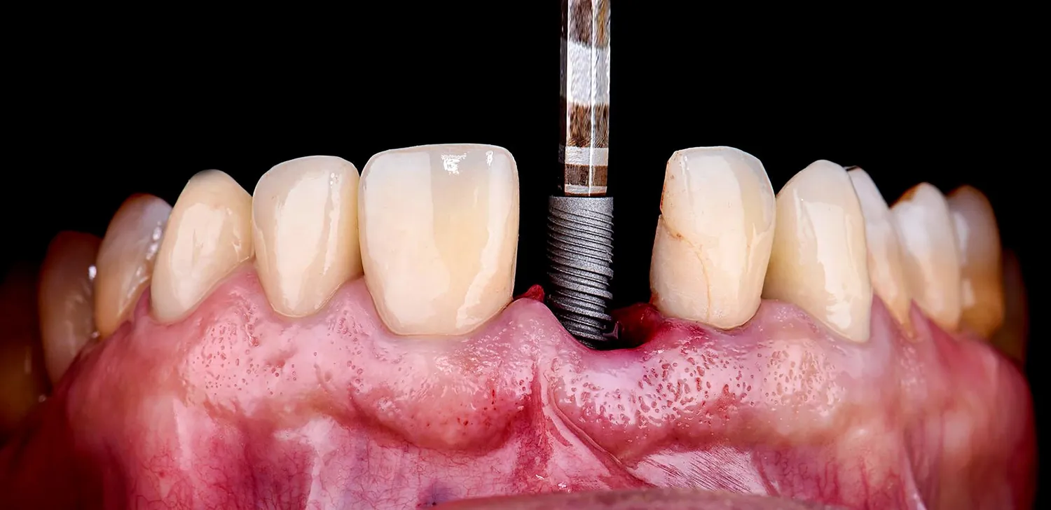
Jakie są najnowsze technologie w implantologii stomatologicznej w Szczecinie
Najnowsze technologie w implantologii stomatologicznej w Szczecinie znacząco wpływają na jakość i bezpieczeństwo zabiegów. W ostatnich latach rozwój technologii cyfrowych przyczynił się do powstania zaawansowanych systemów planowania leczenia, które pozwalają na precyzyjne dopasowanie implantów do indywidualnych potrzeb pacjenta. Dzięki skanowaniu 3D oraz symulacjom komputerowym lekarze mogą dokładnie ocenić stan kości oraz zaplanować optymalne miejsce wszczepienia implantu. To z kolei minimalizuje ryzyko powikłań oraz skraca czas rekonwalescencji. Kolejną innowacją są implanty wykonane z materiałów biokompatybilnych, które lepiej integrują się z tkankami kostnymi pacjenta. W Szczecinie wiele klinik korzysta także z technologii CAD/CAM, co umożliwia szybkie i precyzyjne wykonanie koron protetycznych na implantach. Dzięki temu pacjenci mogą cieszyć się estetycznym uśmiechem już w krótkim czasie po zabiegu. Warto również wspomnieć o zastosowaniu laserów w stomatologii, które zwiększają komfort pacjentów oraz przyspieszają proces gojenia.
Jakie są koszty implantów stomatologicznych w Szczecinie
Koszty implantów stomatologicznych w Szczecinie mogą się znacznie różnić w zależności od wielu czynników, takich jak rodzaj implantu, doświadczenie lekarza czy standard kliniki. Zazwyczaj ceny wahają się od kilku tysięcy do kilkunastu tysięcy złotych za jeden implant, co obejmuje zarówno sam zabieg, jak i dodatkowe procedury takie jak diagnostyka czy protetyka. Warto zwrócić uwagę na to, że niektóre kliniki oferują pakiety promocyjne lub możliwość rozłożenia płatności na raty, co może znacząco ułatwić finansowanie leczenia. Dodatkowo, niektóre ubezpieczenia zdrowotne mogą pokrywać część kosztów związanych z wszczepieniem implantu, dlatego warto skonsultować się ze swoim ubezpieczycielem przed podjęciem decyzji. Koszt całkowity może również wzrosnąć w przypadku konieczności przeprowadzenia dodatkowych zabiegów przygotowawczych, takich jak przeszczep kości czy leczenie chorób przyzębia.
Jakie są przeciwwskazania do wszczepienia implantów stomatologicznych w Szczecinie
Przeciwwskazania do wszczepienia implantów stomatologicznych w Szczecinie mogą być różnorodne i dotyczą zarówno ogólnego stanu zdrowia pacjenta, jak i specyficznych problemów związanych z jamą ustną. Przede wszystkim osoby cierpiące na choroby przewlekłe, takie jak cukrzyca czy choroby serca, powinny skonsultować się ze swoim lekarzem przed podjęciem decyzji o wszczepieniu implantu. Również palenie papierosów może negatywnie wpłynąć na proces gojenia oraz zwiększać ryzyko powikłań. Inne przeciwwskazania to niewystarczająca ilość kości w szczęce, co może wymagać przeprowadzenia dodatkowych zabiegów regeneracyjnych przed wszczepieniem implantu. Osoby z aktywnymi infekcjami jamy ustnej lub chorobami przyzębia również powinny najpierw poddać się odpowiedniemu leczeniu.
Jak dbać o implanty stomatologiczne po ich wszczepieniu w Szczecinie
Dbanie o implanty stomatologiczne po ich wszczepieniu jest kluczowe dla zapewnienia ich długotrwałej funkcjonalności oraz estetyki. Po zabiegu lekarze zalecają stosowanie się do kilku podstawowych zasad higieny jamy ustnej. Przede wszystkim ważne jest regularne szczotkowanie zębów co najmniej dwa razy dziennie oraz używanie nici dentystycznej do czyszczenia przestrzeni międzyzębowych. Pacjenci powinni unikać twardych pokarmów przez pierwsze kilka tygodni po zabiegu, aby nie obciążać implantu podczas procesu gojenia. Dodatkowo regularne wizyty kontrolne u stomatologa są niezbędne do monitorowania stanu zdrowia implantu oraz wykrywania ewentualnych problemów na wczesnym etapie. Stomatolodzy często zalecają także stosowanie specjalnych płynów do płukania jamy ustnej, które pomagają utrzymać odpowiednią higienę oraz zmniejszyć ryzyko infekcji.
Jak wybrać odpowiednią klinikę stomatologiczną oferującą implanty w Szczecinie
Wybór odpowiedniej kliniki stomatologicznej oferującej implanty w Szczecinie jest kluczowy dla sukcesu całego procesu leczenia. Przede wszystkim warto zwrócić uwagę na doświadczenie lekarzy oraz ich kwalifikacje w zakresie implantologii. Dobrym pomysłem jest poszukiwanie klinik posiadających certyfikaty potwierdzające umiejętności specjalistów oraz pozytywne opinie pacjentów. Rekomendacje znajomych lub rodziny mogą być również pomocne przy wyborze odpowiedniej placówki. Kolejnym istotnym czynnikiem jest wyposażenie kliniki; nowoczesny sprzęt medyczny oraz zastosowanie innowacyjnych technologii mogą znacząco wpłynąć na komfort i bezpieczeństwo zabiegu. Warto także zwrócić uwagę na standard obsługi pacjenta; miła atmosfera oraz profesjonalna obsługa są równie ważne jak umiejętności medyczne personelu.
Jakie są alternatywy dla implantów stomatologicznych w Szczecinie
Alternatywy dla implantów stomatologicznych w Szczecinie obejmują różnorodne rozwiązania protetyczne dostosowane do indywidualnych potrzeb pacjentów. Jednym z najpopularniejszych zamienników są mosty protetyczne, które pozwalają na odbudowę brakujących zębów poprzez osadzenie ich na zdrowych zębach sąsiednich. Mosty są mniej inwazyjne niż implanty i mogą być dobrą opcją dla osób, które nie chcą przechodzić przez zabieg chirurgiczny lub mają przeciwwskazania do jego wykonania. Inną możliwością są protezy ruchome, które można łatwo zakładać i zdejmować; jednakże wymagają one większej dbałości o higienę oraz mogą być mniej stabilne niż stałe rozwiązania takie jak mosty czy implanty. W przypadku osób starszych lub tych z ograniczoną mobilnością protezy mogą być bardziej komfortową opcją ze względu na prostotę użytkowania.





